GE HealthCare Announces First Patient Dosed in Phase 2/3 LUMINA Trial for Manganese-Based MRI Contrast Agent Under FDA Fast Track Designation, Further Advancing Its Innovation Pipeline of Novel Imaging Agents
23.4.2026 13:29:00 CEST | Business Wire | Press release
Mangaciclanol, if approved, could transform contrast-enhanced MR imaging by offering an alternative to - or even replacing - gadolinium-based MRI agentsA manganese-based MRI contrast agent could address concerns with gadolinium-based contrast agents around retention in the body, security of supply, and the environment, with mangaciclanol’s clinical development under FDA Fast Track designationThe program demonstrates GE HealthCare’s commitment to advancing novel imaging agents to address unmet patient needs
GE HealthCare (Nasdaq: GEHC) today announced the first patient has been dosed in the international, multi-center Phase 2/3 LUMINA clinical trial of its manganese-based magnetic resonance imaging (MRI) contrast agent, mangaciclanol, at Mayo Clinic in Rochester, Minnesota. Mangaciclanol, if approved, could offer an alternative to – or even replace – gadolinium-based MRI contrast agents, the current standard of care. The investigational agent has been granted Fast Track designation by the U.S. Food and Drug Administration (FDA) for use in adults and pediatric patients aged 2 years and older with MRI to detect and visualize lesions with abnormal vascularity in the central nervous system and the body. FDA Fast Track designation expedites the review of new therapeutics and medical imaging agents that have the potential to address significant unmet patient needs.
This press release features multimedia. View the full release here: https://www.businesswire.com/news/home/20260423262096/en/

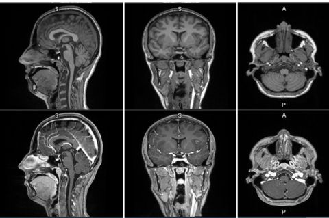
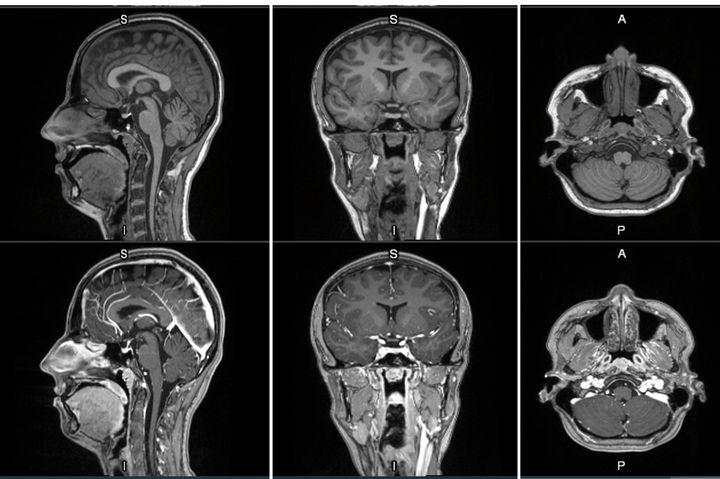
First-in-human contrast enhanced MRI images with GE HealthCare's mangaciclanol
MRI contrast agents enhance the visualization of abnormal structures or lesions during imaging procedures and help clinicians better distinguish between healthy and diseased tissue. Mangaciclanol is intended for general-purpose MR imaging and demonstrates comparable relaxivity (the ability to enhance signal intensity) to market-leading gadolinium-based agent, gadobutrol, with early clinical images suggesting similar diagnostic capability. Unlike gadolinium, which is a rare-earth metal, manganese is present in our food, and is an endogenous element, naturally occurring and autoregulated in the body. The macrocyclic ‘cage-like’ structure of mangaciclanol lessens the possibility of retention.
Approximately one-third of global MRI procedures require a contrast agent for effective diagnosis,1 with around 65 million gadolinium contrast enhanced procedures globally each year.2 As a rare-earth element, gadolinium supply is largely dependent on mining and processing infrastructure in China. Manganese, however, is abundantly available from multiple countries, including South Africa, Australia and Gabon, reducing the risk of supply challenges impacting patient care. Furthermore, as manganese is naturally found in water sources, mangaciclanol could also reduce environmental concerns associated with post-patient excreted contrast media in groundwater.
Dr Jit Saini, Chief Medical Officer, Pharmacutical Diagnostics, GE HealthCare, said, “Existing gadolinium-based contrast agents carry safety language associated with gadolinium retention. In comparison, mangaciclanol could offer an alternative for broad patient groups, including vulnerable patients and those requiring multiple scans, while still offering similar diagnostic performance. The FDA Fast Track designation recognizes the potential significance of mangaciclanol and aligns with our focus on advancing its development for patients.”
“As demand for diagnostic imaging continues to rise, we continue to advance our imaging agent pipeline to better meet the needs of patients,” said Peter Arduini, President and CEO, GE HealthCare. “This clinical milestone builds on GE HealthCare’s leadership in contrast media, as mangaciclanol has the potential to transform the MR imaging market and strengthen the resiliency of its supply chain.”
Phase 1 results for mangaciclanol showed the investigational agent was well tolerated in a first in human trial with no serious adverse events, no dose limiting toxicities, nor clinically relevant findings reported.
GE HealthCare’s Pharmaceutical Diagnostics unit is a global leader in imaging agents used to support 140 million patient procedures per year globally, equivalent to four procedures every second. For more than 40 years, GE HealthCare contrast media has been routinely used across MRI, X-ray/CT and ultrasound to enhance clinical images and support diagnosis.
Mangaciclanol is in clinical development and currently not approved for use.
About GE HealthCare Technologies Inc.
GE HealthCare is a leading global healthcare solutions provider of advanced medical technology, pharmaceutical diagnostics, and AI, cloud and software solutions that help clinicians tackle the world’s most complex diseases. Serving patients and providers for 130 years, GE HealthCare is delivering bold innovations designed for the next era of medicine across its Imaging, Advanced Visualization Solutions, Patient Care Solutions, and Pharmaceutical Diagnostics segments to help clinicians deliver more personalized, precise patient care. We are a $20.6 billion business with approximately 54,000 colleagues working to create a world where healthcare has no limits.
GE HealthCare is proud to be among 2026 Fortune World’s Most Admired Companies™.
Follow us on LinkedIn, Facebook, Instagram, or visit our website for our latest news and perspectives.
1 Contrast Agents of Magnetic Resonance Imaging and Future Perspective.Nanomaterials. Available at: https://pmc.ncbi.nlm.nih.gov/articles/PMC10343825/[europepmc.org]
2Recent Developments and Future Perspectives in Magnetic Resonance Imaging and Computed Tomography Contrast Media.Frontiers in Radiology. Available at: https://pmc.ncbi.nlm.nih.gov/articles/PMC12871431/
View source version on businesswire.com: https://www.businesswire.com/news/home/20260423262096/en/

Subscribe to releases from Business Wire
Subscribe to all the latest releases from Business Wire by registering your e-mail address below. You can unsubscribe at any time.
Latest releases from Business Wire
Corpay Cross-Border Named the Official FX Supplier of Toulouse Football Club23.4.2026 14:30:00 CEST | Press release
Providing access to currency risk management and cross-border payments solutions Corpay, Inc.*, (NYSE: CPAY) a global leader in corporate payments, is pleased to announce that Corpay’s Cross-Border business has entered into an agreement with Toulouse Football Club to become their Official Foreign Exchange (FX) Supplier. A partnership brought together by SPORTFIVE, an international sports marketing agency. Through this partnership, Corpay Cross-Border will deliver comprehensive FX risk management solutions to support Toulouse Football Club’s operations. In addition, its award-winning platform will enable the club to manage global payments seamlessly through a single point of access. “Corpay Cross-Border is proud to be named the Official FX Supplier of Toulouse Football Club,” said Brad Loder, Chief Marketing Officer, Corpay Cross-Border Solutions. “This partnership reinforces Corpay’s position as a leading provider of corporate payments and currency risk management solutions within prof
Philip Morris International Expands its Partnership with Ducati Corse as Decades-Long Partnership Races Forward with Purpose23.4.2026 14:00:00 CEST | Press release
ZYN branding to be present at select MotoGP races in the 2026 season and beyond Philip Morris International1 (NYSE: PM) today announced an expanded partnership with Ducati Corse for the 2026 season and beyond. This next chapter introduces a major development: the ZYN brand of nicotine pouches—the number one nicotine pouch brand globally2—will feature on Ducati Corse MotoGP liveries at select races throughout the seasons. Just as Ducati pushes the limits of performance, ZYN represents PMI’s commitment to delivering innovation, offering a product that delivers exceptional quality while being thoughtfully designed. This partnership allows ZYN to connect with adult consumers in a space they’re passionate about—and to do so in a way that’s authentic, respectful, and dynamic. Philip Morris International’s relationship with Ducati Corse began in 2003—the year Ducati arrived in MotoGP—ushering in a bold new era of ambition. Since then, the collaboration has evolved alongside both organizations
Vitrealab and poLight ASA Partner to Tackle Coherence Artifacts in Laser-LCoS AR Displays23.4.2026 14:00:00 CEST | Press release
Vitrealab GmbH and poLight ASA (OSE: PLT) today announced a collaboration to advance laser illumination architectures for LCoS-based augmented reality (AR) displays, with a focus on mitigating coherence-related image artifacts while preserving system efficiency and compactness. This press release features multimedia. View the full release here: https://www.businesswire.com/news/home/20260423345474/en/ Vitrealab GmbH and poLight ASA (OSE: PLT) today announced a collaboration to advance laser illumination architectures for LCoS-based augmented reality (AR) displays, with a focus on mitigating coherence-related image artifacts while preserving system efficiency and compactness. Vitrealab’s Quantum Light Chip combined with poLight's TWedge® wobulation technology helps create a higher performing and more manufacturable AR system. Laser-based illumination offers clear system-level advantages for LCoS based AR light engines, including high optical efficiency due to intrinsic polarization, imp
Croma Pharma Launches AI-Driven Tech Venture to Revolutionize Aesthetic Medicine via Clinicore Platform23.4.2026 13:13:00 CEST | Press release
New structure to drive AI-powered innovation and international expansion Croma Pharma has launched a strategic joint venture to accelerate the development of Clinicore, its premium digital solution for aesthetic practices. This dedicated entity will focus on scaling the next generation of the platform while ensuring full continuity for existing users. Clinicore: Elevating Practice Excellence through AI Clinicore is a specialized SaaS (Software as a Service) solution designed to optimize the daily operations of aesthetic clinics. By automating patient management, scheduling, and administrative workflows, it enables healthcare professionals to focus entirely on patient care. A core element of the new strategy is a strong focus on Artificial Intelligence. Clinicore is evolving into a smart assistant, utilizing AI-driven features for automated treatment documentation, intelligent onboarding tools, and advanced process automation. This ensures that clinics can operate at maximum efficiency
NIQ Launches Commerce Lab to Build the Data and Measurement Layer for AI-Driven Commerce23.4.2026 13:00:00 CEST | Press release
NielsenIQ (NYSE: NIQ) today announced the launch of NIQ Commerce Lab, where the company is building the technology infrastructure for AI-driven commerce. The Lab will develop the data platforms, APIs, and measurement systems that power how products are discovered, evaluated, and purchased in AI-mediated environments. This includes what the industry often refers to as agentic commerce, but extends across quick commerce, social commerce, and other emerging channels—where AI is becoming the common layer shaping how consumers navigate choices and how decisions are made in real time. AI systems are rapidly moving from supporting decisions to making them—playing an increasingly central role in how commerce operates. Their effectiveness depends on the intelligence behind them. AI is Becoming the Operating Layer of Global Commerce NIQ ensures that the intelligence behind these systems is accurate, complete, and grounded in real-world behavior—reflecting how consumers actually buy, what product
In our pressroom you can read all our latest releases, find our press contacts, images, documents and other relevant information about us.
Visit our pressroom