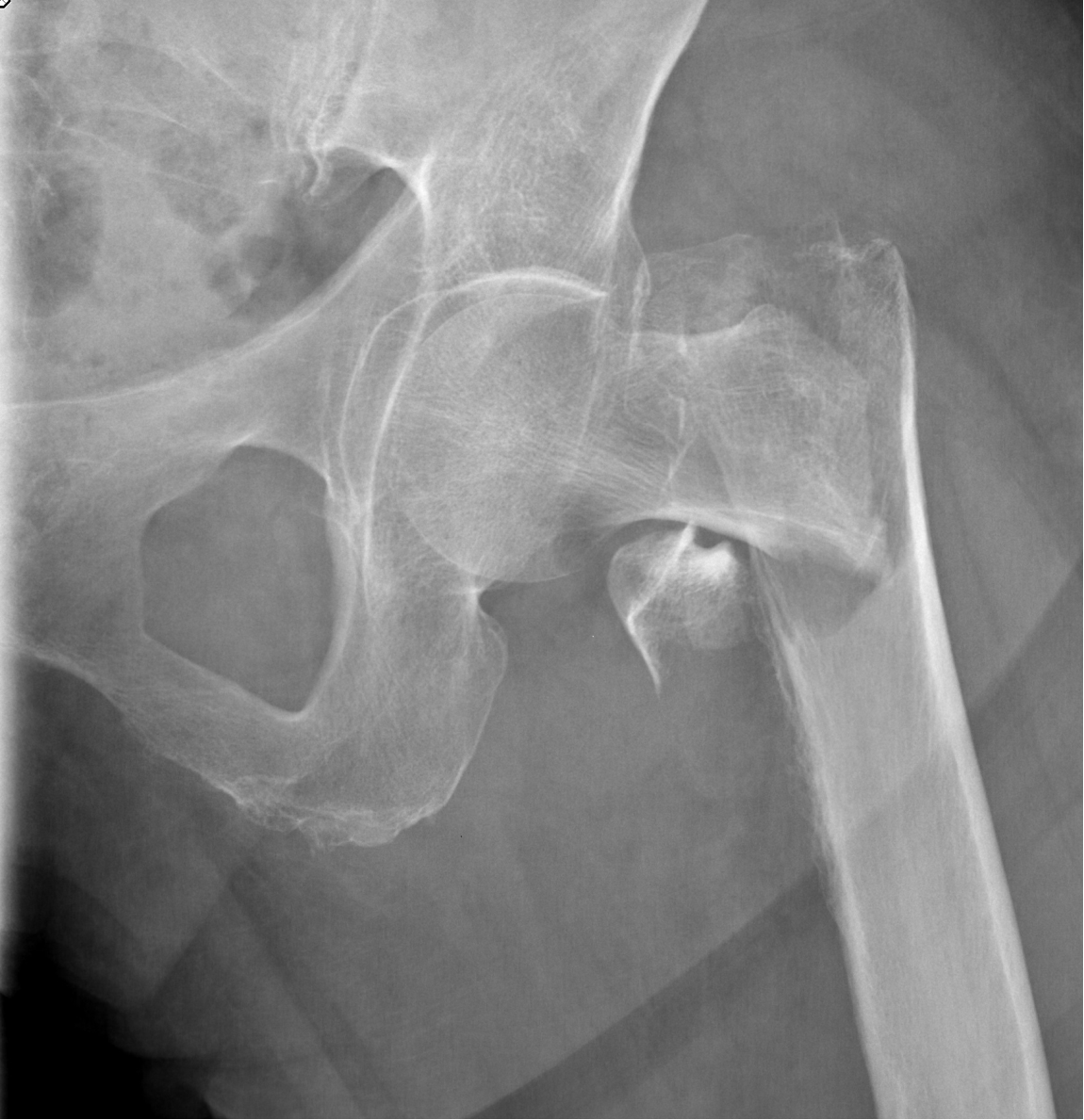
Ny undersøgelse: Fald i hoftebrud, flere hofteoperationer
30.5.2024 14:49:55 CEST | Syddansk Universitet | Pressemeddelelse
Færre ældre får hoftebrud, men flere får nye hofter på grund af slidgigt.
En ny undersøgelse fra Syddansk Universitet og Københavns Universitetshospital Bispebjerg viser en faldende hyppighed af hoftebrud blandt ældre, men en stigning i hofteoperationer.
Forskerne har fundet en markant nedgang i hoftebrud blandt ældre. Denne positive udvikling skyldes formentlig bedre behandling af knogleskørhed, forebyggelse af fald, øget fysisk aktivitet og færre rygere.
-Det markante fald i hoftebrud blandt ældre tyder på, at den fokuserede indsats på knoglesundhed og forebyggelse af fald bærer frugt, siger Troels Mygind Jensen, adjunkt ved Dansk Center for Aldringsforskning på Syddansk Universitet og førsteforfatter på studiet.
Studiet er for nylig publiceret i JAMA Network Open.
Flere får nye hofter
Samtidig med faldet i antal hoftebrud er antallet af hofteoperationer steget, især blandt de ældste.
Forbedringer i anæstesi og operationsteknikker gør det sikrere at operere ældre. Dette afspejler en positiv udvikling, hvor moderne medicinsk teknologi bidrager til, at flere ældre kan bevare deres mobilitet og livskvalitet.
-Stigningen i operationer trods færre hoftebrud afspejler en vigtig samfundsudvikling. Vi ser en positiv trend i anvendelsen af moderne medicinsk teknologi, der gør det muligt for flere ældre at bevare deres mobilitet og livskvalitet, siger Troels Mygind Jensen.
Stigningen i antallet af operationer kan også pege på en ændret holdning til behandlingens nødvendighed blandt både læger og ældre borgere.
-Vi ved, at der i sundhedsvæsenet tidligere har eksisteret både formelle og uformelle aldersgrænser for en række procedurer og behandlinger. Det vil sige, at der måske groft sagt har været en afvejning af 'om det kunne betale sig' at behandle de ældste, fortæller Troels Mygind Jensen.
Et mere inkluderende sundhedsvæsen
Studiet viser, at der ikke er tegn på forskelsbehandling baseret på alder i forbindelse med hofteoperationer. Dette indikerer et mere inkluderende sundhedssystem, hvor alder ikke er en barriere for kvalitetsbehandling.
-Vores resultater viser, at vi bevæger os mod et mere inkluderende sundhedssystem, hvor alder ikke er en barriere for kvalitetsbehandling. Det er afgørende for at sikre lighed i sundhedstilbuddet og opbygge et samfund, hvor alle aldersgrupper får den nødvendige behandling, siger Troels Mygind Jensen.
Kaare Christensen, professor ved Dansk Center for Aldringsforskning og sidsteforfatter på studiet, tilføjer: -På få årtier er vi gået fra at være meget tilbageholdende med behandlingen af de ældste til nu, hvor vi ser 90+ årige, der får ny hofte på grund af slidgigt, ja selv 100+ årige. Det er en glædelig og rigtig udvikling, at man ikke dømmes ude alene på grund af sin alder.
Professor Søren Overgaard, Ortopædkirurgisk Afdeling, Københavns Universitetshospital Bispebjerg er medforfatter på studiet og understreger:
-Det er en central udfordring for sundhedsvæsenet i de kommende år at finde det rette niveau i en behandlingsstrategi af ældre med degenarative ledlidelser, når vi har en stadigt voksende gruppe af meget gamle danskere.
Om studiet
Undersøgelsen er baseret på data fra 3.664.979 personer i alderen 40 til 104 år fra 1996 og frem.
Nedgang i hoftebrud: - Blandt personer fra 80 til 104 år er hyppigheden af hoftebrud faldet med 35% til 40%.
Stigning i operationer relateret til hoftebrud: - Andelen af personer, der får ny hofte efter et brud, er steget med 50% til 70%. Stigningen er størst hos personer over 75 år.
Stigning i operationer relateret til slidgigt: - Hyppigheden af hofteoperationer udført for at behandle slidgigt hos personer i aldersgruppen 75 til 99 år er steget markant. Stigningen ligger på mellem 60% og 100%, hvilket indikerer næsten en fordobling af hyppigheden af sådanne operationer i denne aldersgruppe over den angivne periode.
Disse tal belyser signifikante ændringer i behandlingsmønstre og sundhedstilstanden hos ældre i Danmark.
Link til artiklen i JAMA Open Network: https://jamanetwork.com/journals/jamanetworkopen/fullarticle/2818119?widget=personalizedcontent&previousarticle=0
Nøgleord
Kontakter
Marianne Lie BeckerJournalistDet Sundhedsvidenskabelige Fakultet
Tlf:21 26 19 26mlbecker@health.sdu.dkTroels Mygind JensenAdjunktDansk Center for Aldringsforskning
Troels Mygind Jensen er førsteforfatter på studiet om hoftebrud og operationer.
Billeder

Links
Følg pressemeddelelser fra Syddansk Universitet
Skriv dig op her, og modtag pressemeddelelser på e-mail. Indtast din e-mail, klik på abonner, og følg instruktionerne i den udsendte e-mail.
Flere pressemeddelelser fra Syddansk Universitet
Sociale medier og AI ændrer valgkampen12.5.2026 12:12:54 CEST | Pressemeddelelse
En ny undersøgelse fra Digital Democracy Centre på SDU viser, at sociale medier, algoritmer og AI spiller en stadig større rolle i valgkampen og skaber et mere opdelt digitalt mediebillede.
Forskere på SDU skal undersøge, hvad der egentlig sker, når man koger en bønne7.5.2026 10:25:39 CEST | Pressemeddelelse
Forskere fra SDU Food Matters på Syddansk Universitet skal over de næste fem år analysere, hvordan bønners naturlige mikrostrukturer ændrer sig under tilberedning, og hvordan den viden kan bruges til at udvikle bedre plantebaseret mad. Projektet er støttet af Novo Nordisk Fonden med 12,5 millioner kroner.
Nyt forskningscenter skal styrke samspillet mellem jura, kunstig intelligens og robotteknologi7.5.2026 10:20:35 CEST | Pressemeddelelse
Juridisk Institut ved Syddansk Universitet etablerer CLAIR – Center for Law, AI and Robotics. Centret skal bidrage med ny viden, der kan omsættes i både uddannelse, lovgivning og praksis i mødet mellem jura og teknologi.
Danskernes opbakning til AI i mødet med det offentlige afhænger af, hvor tit de bruger AI og i mindre grad af deres alder7.5.2026 07:00:00 CEST | Pressemeddelelse
En ny rapport fra Digital Democracy Centre tager temperaturen på danskernes holdninger til kunstig intelligens i den offentlige sektor. Det overordnede resultat er, at danskernes opbakning afhænger meget af sagstype og desuden hvilken type AI-baseret værktøj, der er tale om.
Globale eksperter er enige: Sundhedsvæsenet skal tænke fysisk aktivitet ind i behandling af kroniske sygdomme6.5.2026 10:19:59 CEST | Pressemeddelelse
Et internationalt konsensusarbejde ledet og koordineret af forskere fra Syddansk Universitet og Københavns Universitet viser, hvordan sundhedsprofessionelle systematisk kan vurdere, ordinere og fremme fysisk aktivitet i mødet med patienter med kroniske sygdomme
I vores nyhedsrum kan du læse alle vores pressemeddelelser, tilgå materiale i form af billeder og dokumenter samt finde vores kontaktoplysninger.
Besøg vores nyhedsrum