
Hvorfor negligeres mundplejen på omsorgsuddannelserne?
14.6.2023 08:06:00 CEST | Denglademund.dk | Pressemeddelelse
”De fleste mennesker ved ikke, hvordan de skal børste deres egne tænder godt nok ifl. KRAM undersøgelsen, og min egen erfaring som tandplejer og underviser på landets plejehjem. Så hvordan kan vi forvente, at plejepersonalet uden undervisning kan børste tænder godt nok på andre mennesker?” starter tandplejer Liselotte Hinrich fra denglademund.dk med at fortælle.

Plejepersonalet mangler viden om mundpleje
Plejepersonalet uddannes officielt til at kunne varetage plejen af hele borgerens krop. Men sådan forholder det sig ikke.
Der findes ingen koordineret undervisning i mundpleje på hverken SSH/SSA- eller sygeplejerskeuddannelserne. Den sparsomme og tilfældige undervisning nogle enkelte får, varetages ofte af ikke tandplejefagligt uddannede. Hvilket svarer til at lade en ergoterapeut undervise i sårpleje, hvilket de heller ikke er uddannet til.
Derfor mangler plejepersonalet den nødvendige uddannelse og viden, og de mangler derudover også arbejdsprocedurer på deres arbejdspladser.
- De har ikke en chance for at vide, hvordan de skal børste tænder ud fra borgerens individuelle behov.
- De ved ikke, hvad de skal holde øje med, og hvordan de tjekker om tandbørstningen er god nok.
- De ved ikke, hvad de skal gøre, hvis tandkødet bløder.
- Og de ved heller ikke, at de i langt de fleste tilfælde selv både kan forebygge og behandle sygdomme i munden.
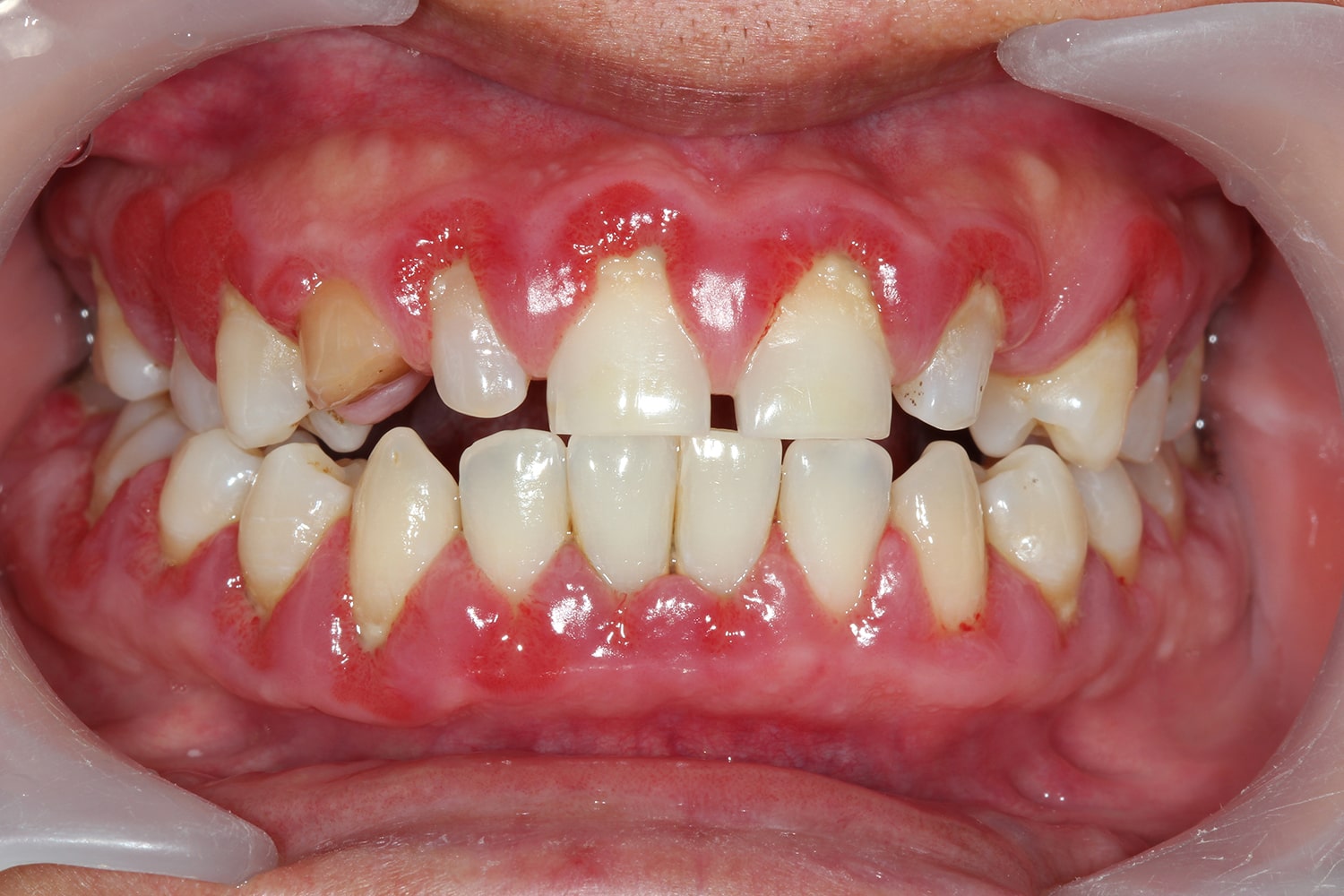
Derfor foregår tandbørstningen ofte tilfældigt, og mange problemer og sygdomme i munden bliver overset.
Det koster alt for mange liv
Lungebetændelse og underernæring forårsaget af dårlig tandbørstning, koster mange liv hvert år.
Op mod 87% af dem der bor på plejehjem lider af fejlsynkning, viser opgørelser fra Regionshospital Nordjylland. Det har den konsekvens, at de indånder plakken (gamle bakterier) fra munden ned i lungerne. Jo mere plak der er, jo større risiko er der for at få lungebetændelse. Og en stor del af dem ender med at dø af det.
Undersøgelser fra isikrehaender.dk viser desuden, at hvis plejepersonalet havde den nødvendige viden, så kunne plejehjemsbeboerne få børstet tænderne bedre, og så kunne vi undgå 10% af indlæggelserne med lungebetændelse.
”Min erfaring fra omsorgstandplejen og plejehjemmene er, at mange af de ældre mennesker har en dårlig mundhygiejne, ubehandlede infektioner, kroniske smerter, og generelt en dårlig tandstatus, som gør at de ikke er i stand til at indtage tilstrækkelig næring” fortsætter tandplejer Liselotte Hinrich
Uvidenhed skaber usikkerhed
Mange plejepersonaler har berøringsangst ift. mundplejen og opfatter munden som det mest intime sted på kroppen. Kombineret med den manglende viden er det formentlig også årsagen til, at tandbørstningen er den del af plejen som oftest bliver valgt fra ved travlhed.
75% af dem der bor på plejehjem får ikke børstet tænder godt nok, og alligevel får mange af dem ikke hjælp til det, viser den samme undersøgelse fra isikrehaender.dk.
De fleste af dem som bor på plejehjem er pga. alder eller sygdom ikke i stand til selv at børste deres tænder godt nok. Dem som ikke ønsker hjælp til tandbørstningen får ikke tilbudt et regelmæssigt tjek af plejepersonalet, for at se om beboeren børster tænder godt nok.
Det betyder, at man kan tilbringe de sidste år af sit liv, hvor man er mest syg og svækket, uden at der er nogen som tilbyder at hjælpe med tandbørstningen. På trods af at mundhygiejnen er så dårlig, så tandkødet bløder dagligt, og der er en stor risiko for lungebetændelse.
Manglende viden om hjælpemidler
Mennesker, som har demens eller andre hjerneskader, er det ofte en stor udfordring at få lov til at børste tænder på. For mange af dem føler det som et overgreb.
Med de rigtige hjælpemidler er det nemmere for plejepersonalet at sørge for en bedre mundhygiejne. Men den viden får plejepersonalet heller ikke på uddannelserne.
”Der findes specielle tandplejeprodukter, som gør det mere behageligt for beboeren at få børstet tænder og som bekæmper plakken, så der ikke er så meget der skal børstes væk” fortsætter tandplejer Liselotte Hinrich.
Den forebyggende effekt mangler
Hvis man børster tænder på samme måde på alle mennesker, så børster man i blinde, og så misser man dem, som kræver særlig opmærksomhed. Mange af de ældre mennesker har fået foretaget reparationer, tandudtrækninger, og tandkødet har trukket sig, så tænderne ikke sidder som perler på en snor. Og så er det rigtig svært at vide, hvordan man skal børste deres tænder, når man ikke har lært det.
Og det er lige præcis der problemet er. For så virker forebyggelsen ikke, og så taber vi dem på gulvet, hvor vi kunne have forhindret lungebetændelse, smerter og underernæring.
Det skal vi lave om på
Denglademund.dk udfører til dagligt undervisning og kurser på plejehjemmene.
”Jeg kan se, at vores kurser gør en stor forskel for de ældres mundhygiejne. Jeg underviser i alt det, som plejepersonalet mangler. Både den teoretiske del. Men jeg lærer dem også at kigge ind i munden, hvad de skal holde øje med, og at selv kunne vurdere hvad de skal gøre, når mundhygiejnen ikke er god nok, eller tandkødet bløder. For det er først der, at vi for alvor kan gøre en forskel” afslutter tandplejer Liselotte Hinrich.
Nøgleord
Kontakter
Liselotte Borggren HinrichStifter af Den Glade Mund
Rådgiver & foredragsholder om ældres tandpleje
Uddannet Tandplejer & Sosu assistent
Billeder
Vedhæftede filer
Links
Om Den Glade Mund
Denglademund.dk underviser, superviserer, og vejleder i tandpleje på tværs af offentlige institutioner.
Virksomheden er desuden førende i undervisning af brugen af tandplejeprodukter og udbyder et sortiment af produkter, som er udvalgt af uddannede tandplejere.
Den Glade Mund ApS
Jernbæk Alle 44
3200 Helsinge
+45 61761550
Følg pressemeddelelser fra Denglademund.dk
Skriv dig op her, og modtag pressemeddelelser på e-mail. Indtast din e-mail, klik på abonner, og følg instruktionerne i den udsendte e-mail.
Flere pressemeddelelser fra Denglademund.dk
Slip for dyre tandlægeregninger - Tandplejer forklarer, hvordan man sparer penge på tandlægeregningen21.3.2023 08:06:00 CET | Pressemeddelelse
”Hvis vi havde mere fokus på den forebyggelse som folk har brug for, og som vi ved virker, så kunne vi spare en stor del af de udgifter vi har til tandlægebehandlinger i dag. Både samfundsøkonomisk, og ikke mindst ift. vores privatøkonomi. Og som en sidegevinst så kunne vi også spare borgerne for smerter, og redde flere liv” udtaler Liselotte Hinrich, tandplejer og stifter af Denglademund.dk.
De ældre dør af manglende tandbørstning!18.10.2022 08:05:00 CEST | Pressemeddelelse
”Dårlig mundhygiejne er et udbredt problem, og en stor del af årsagen til lungebetændelse, smerter og underernæring, hos vores ældre borgere” udtaler tandplejer Liselotte Hinrich fra denglademund.dk
